Mending a Broken Heart

Illustration of a human heart

MUSC has several innovative strategies to help patients quickly address and manage their heart conditions

By Matthew Greseth

"Man has made many machines, complex and cunning, but which of them indeed rivals the workings of his heart?”

- Pablo Casals

The heart is an amazing and coordinated machine. As a muscle the size of your fist, it will beat ~100,000 times each day and pump 1.5 gallons of blood through 60,000 miles of blood vessels every minute. As incredible as that is, sometimes the heart breaks.

Broken heart syndrome, or death from a broken heart, is an extremely rare heart condition. In contrast, heart disease — issues and deformities of the heart — is a group of common and serious heart conditions causing one in four deaths in the United States. Some of the more familiar types of heart disease include coronary artery disease, myocardial infarction, arrhythmia and heart failure. Oftentimes these conditions are treated with medication or surgery; however, doctors are constantly seeking to improve the lives of these patients.

MUSC is pioneering several strategies to help patients manage their heart disease. One strategy uses artificial intelligence to help physicians make detailed maps of the heart more quickly in patients
with atrial fibrillation. The second strategy utilizes a novel medical device to rebalance the different arms of the nervous system in patients with chronic heart failure.

Machines learn to fix a broken heart

The four chambers of the heart beat in a controlled, steady, rhythmic pattern. This pattern is controlled by an electrical system called the pacemaker. Normally, the electric pulse is initiated in the upper chambers, the atria, and travels to the lower chambers, the ventricles. Arrhythmias, which can become fatal, occur when the rhythmic pattern is disrupted, causing the heart to beat too fast (tachycardia), too slow (bradycardia) or irregularly (fibrillation).

Atrial fibrillation is one of the most common arrhythmias and causes the atria to twitch quickly. This added strain on the heart often leads to the formation of clots. In fact, one out of seven strokes in the United States is caused by atrial fibrillation. To manage it, patients are prescribed a daily medication regimen. If the medications fail to address the problem, patients can undergo a surgical intervention, called catheter ablation, in which a wire is inserted into the dysfunctional area and heated to disrupt the damaged area.

To ensure the safety and efficacy of this procedure, physicians need an accurate map of the heart, and artificial intelligence is providing a new, better map-making tool.

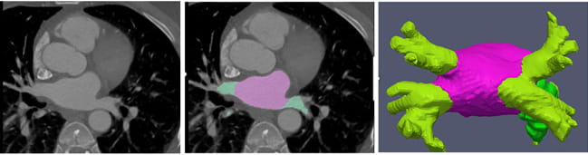
Pretreatment mapping of the left atrium is much quicker with the help of AI. The images show a standard heart CT scan (left), a scan with AI mapping (middle), and a detailed AI map of the left atrium (right). 
Pretreatment mapping of the left atrium is much quicker with the help of AI. The images show a standard heart CT scan (left), a scan with AI mapping (middle), and a detailed AI map of the left atrium (right).

“That’s where we come in,” said Jeremy R. Burt, M.D., associate professor of radiology and radiological science and director of cardio- vascular CT, who is using artificial intelligence to map the heart.

Normally, patients about to undergo catheter ablation are sent to the radiologist for a computed tomography (CT) scan or a magnetic resonance image (MRI). The radiologist then processes the image to give a detailed map of the left atrium and the pulmonary veins back to the electrophysiologist. This process can normally be completed in 10 to 15 minutes. However, Burt and his team have developed an artificial intelligence algorithm that can provide a detailed map of the left atrium with 95% accuracy in just 10 seconds.

“Artificial intelligence has such great potential,” explained Burt. “There’s a high threshold before you can reach that potential, but once you get past that, there are amazing things that we are going to be able to do. It is really going to change medicine, and radiology is a great example of where we can apply some of these artificial intelligence algorithms.”

This new technology will be highly beneficial for physicians, who generate these detailed maps several times a day, because it will save a significant amount of time. Although the technology is not quite available to physicians, Burt and his team are currently working to test the algorithm in a specific patient group with atrial fibrillation.

These new algorithms will also allow physicians to study the left atrium and learn important details about how it contributes to normal heart function.

“We don’t know very much about the left atrium,” described Burt. “For a long time, we thought it was just there to hold the blood, that it doesn’t really do a whole lot. Now we know it has an important function, and this algorithm is going to let us research that on a large scale."

Burt and his team are currently planning studies to look at the emptying fraction, the amount of blood pushed out of the left atrium into the left ventricle. To start, the team will examine healthy patients to monitor their blood volumes, emptying fractions and strain pat- terns. After defining these normal parameters, they can begin looking at different disease states, starting in patients with atrial fibrillation. Future work could focus on other heart conditions, including mitral regurgitation (the abnormal flow of blood from the left ventricle to the left atrium), mitral stenosis (an abnormal narrowing of the mitral valve that restricts blood flow out of the left atrium), and amyloidosis (an abnormal build-up of amyloid in the heart).

Overall, this new technology will allow physicians to more quickly map the left atrium of patients with atrial fibrillation and could provide the basis for a whole new understanding of how the left atrium functions.

The head, the heart and the machine

Heart failure occurs when the heart fails to efficiently pump blood around the body. It is estimated that heart failure affects 6.5 million people, with half of patients dying within five years of a diagnosis. Over the past 30 years, several medications and devices have improved patients’ morbidity and mortality; however, significant challenges remain.

“Despite the many advances we’ve made in heart failure, patients still have an unacceptable symptom status, an unacceptable burden of disease, and an unacceptable mortality rate,” said Michael R. Zile, M.D., the Charles Ezra Daniel Professor of Medicine, an MUSC distinguished professor, and chief of cardiology at the Ralph H. Johnson VA Medical Center. “We know we need to make continued efforts to improve therapy.”

Heart function is regulated by two opposing branches of the autonomic nervous system — the sympathetic nervous system (SNS), which increases the heart rate and contractility among other heart functions, and the parasympathetic system (PNS), which reduces the heart rate. In heart failure, the SNS is in overdrive while the PNS is suppressed, leading to decreased myocardial efficiency, arrhythmia and inflammation.

A clinical trial, Baroreflex Activation Therapy (BAT) for Heart Failure (BeAT-HF), sponsored by CVRx and chaired by Zile, sought to rectify the dysregulation of the autonomic nervous system in heart failure patients by using a novel medical device called Barostim Neo. This device uses an electrical signal to modulate the nervous system.

“In patients with chronic heart failure, there’s an imbalance in the sympathetic and parasympathetic systems, such that the sympathetic tone is increased and the parasympathetic tone is decreased,” explained Zile. “When you stimulate the carotid baroreceptor with an electrical stimulus, you rebalance that by stimulating the brain. The brain acts to move the sympathetic down and the parasympathetic up.”

The device consists of a two-millimiter electrode that is attached to a pulse generator. The electrode is placed on the carotid sinus baroreceptor (on the carotid artery), while the pulse generator is implanted subcutaneously. Once implanted, a continuous afferent signal is sent to the brain. Importantly, this stimulus is titratable. Physicians can increase the signal stepwise over the course of a few weeks to reach a maximally tolerated strength.

The BeAT-HF trial began in a defined target population of greatest unmet need. The U.S. Food and Drug Administration (FDA) approved the trial for patients “who remain symptomatic despite treatment with guideline-directed medical therapy, are NYHA Class III or Class II (who had a recent history of Class III), have a left ventricular ejection fraction ≤ 35%, an NT-proBNP.

By all measures, the study was a huge success and proved to be safe. Patients who underwent BAT showed improvements in their six-minute walk and their quality of life score, and they raised their New York Heart Association score. They also showed a reduction in a critical biomarker that is resistant to the placebo effect.

The FDA saw significant improvement of patients and prioritized the BeAT-HF trial for review. The trial was one of the first protocols and devices approved under the 2016 21st Century Cures Act, a congressional act that strives to rapidly bring new therapies to patients. The FDA approved the Barostim Neo system on August 16, 2019, for patients who meet the FDA guidelines. Currently, most insurance companies don’t cover Barostim Neo, but it is under review with the Center for Medicare Services and they are enthusiastic about the device.

“This is the first neuromodulation device, to our knowledge, that has been demonstrated to be effective and has been approved by the FDA,” said Zile.

One of the greatest benefits of the Barostim Neo system over conventional treatment modalities is that patient compliance should be greatly improved. Rather than requiring several daily medications, the device continually modulates the autonomic nervous system and reduces the risk of patients failing to take their medicine.

In the future, it is possible that the Barostim Neo system could treat a broader range of heart failure patients. There is reason to believe that across the heart failure spectrum, the imbalance between the SNS and PNS is the underlying cause of disease. Zile believes that rebalancing the system to a homeostatic level should improve heart failure symptoms and outcomes in all patients with heart failure.

On the mend

Patients with heart disease continue to have significant morbidity and mortality despite decades of drug development. Physicians at MUSC are persistently striving to reduce patient suffering. One group of physicians is using artificial intelligence to aid in quickly mapping the atrium in patients with atrial fibrillation and may now have a platform to study the atrium in both health and disease. Another group has designed a novel medical device that rebalances the nervous system to significantly improve the quality of life for patients with chronic heart failure. Both of these advances will help patients experience a higher quality of life despite heart disease.