Powerful Peptide

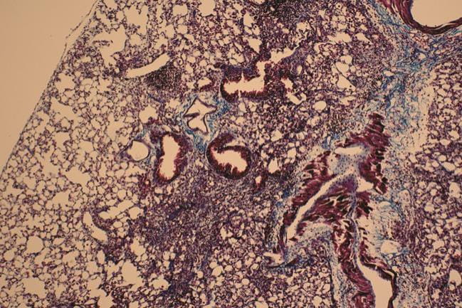
Fibrotic lung tissue isolated from mice that received bleomycin

The M10 Peptide Shows Early Promise Against Lung Fibrosis in Scleroderma

by Kimberly McGhee

Preclinical results reported by MUSC investigators in the April 2016 issue of Translational Research (doi: 10.1016/j.trsl.2015.12.009) suggest that the M10 peptide protects against fibrotic damage in patients with systemic sclerosis, particularly in those who develop interstitial lung diseases (ILD), its deadliest complication.

Fibrotic diseases, which are characterized by excessive scarring due to overproduction by fibroblasts of collagen and other components of extracellular matrix, account for more than 45% of U.S. deaths—more than cancer—and are estimated to cost $10 billion annually. Despite the prevalence of fibrotic diseases, only a handful of anti-fibrotic agents have been approved by the U.S. Food and Drug Administration, and none is available for systemic sclerosis.

Systemic sclerosis, or scleroderma, is the quintessential fibrotic disease, since its scarring can damage any part of the body. “Scleroderma is often more than skin deep, affecting the gastrointestinal tract, the lungs, the heart, the kidneys, and the blood vessels, so it is a model for many other more prevalent fibrotic diseases,” said Richard M. Silver, M.D., Director of the Division of Rheumatology and Immunology, and a co-author on the article. “Whereas there may be 300,000 Americans with scleroderma/systemic sclerosis, millions of others suffer from fibrosis of these other organ systems.”

M10 is a ten-amino acid peptide formed from the natural cleavage of the receptor tyrosine kinase MET by caspase 3. MET, also known as hepatocyte growth factor receptor, is thought to protect against injury and fibrosis, but the mechanisms by which it does so have remained unclear. The MUSC investigators showed that M10 could protect against fibrotic injury in a bleomycin-induced model of ILD and that its anti-fibrotic effects are likely due to its modulation of the transforming growth factor beta 1(TGF-ß1) pathway. TGF-ß1 is a cytokine that has been implicated in inflammation and fibrosis.

“Intraperitoneal injection of M10 markedly improved bleomycin-induced lung fibrosis in mice, suggesting that the M10 peptide may have potential for use in the treatment of scleroderma-associated interstitial lung disease and other forms of pulmonary fibrosis,” said Galina S. Bogatkevich, M.D., Ph.D., senior author on the Translational Research article. Lead authors for the article are Ilia Atanelishvili, MS, and Yuichiro Shirai, M.D., Ph.D.

When given by intratracheal injection, bleomycin causes fibrotic changes in the lungs, including peribronchial and interstitial infiltration of inflammatory cells, thickening of alveolar walls, and the development of fibrotic lesions with excess deposition of extracellular matrix protein. The MUSC investigators used this bleomycin-induced model of lung fibrosis to evaluate the anti-fibrotic effects of M10. As expected, mice receiving bleomycin plus a scrambled peptide showed greater than eight times more lung fibrosis than controls receiving saline and scrambled peptide, but that fibrosis was reversed when mice were administered both bleomycin and M10, suggesting the anti-fibrotic potential of M10.

Because M10 was given on the same day as bleomycin, its anti-fibrotic effects are considered preventative. To establish the therapeutic anti-fibrotic efficacy of M10, Bogatkevich and her MUSC colleagues are running experiments in which M10 is administered ten days after the instillation of bleomycin, when fibrotic damage has already occurred. The initial data have confirmed the suggested therapeutic efficacy of M10, and the study team is seeking an industry partner to help take M10 forward into clinical trials.